ICON White Spot Removal – Kirkland, WA
Erase White Spots Without Drilling or Pain
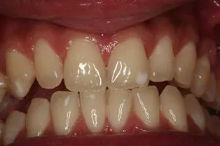
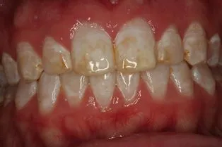
ICON white spot removal is a minimally invasive treatment that helps reduce or eliminate white spots on teeth caused by early decay, fluorosis, or orthodontic treatment. At Kirkland Dental Smile, we offer this advanced solution to improve your smile without drilling or discomfort.
How ICON Improves the Appearance of Teeth
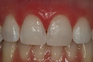
ICON technology uses a specialized resin that penetrates the porous enamel where white spots form. Once applied, the resin blends the affected area with the surrounding enamel, creating a smoother and more uniform tooth appearance.
What to Expect During ICON Treatment
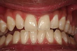
ICON treatment is completed in a single visit and requires no anesthesia. The tooth surface is gently prepared before the resin is applied and cured. Results are visible immediately after treatment.
Who Is a Good Candidate for ICON?
ICON is ideal for patients looking for a conservative cosmetic option that preserves natural enamel. A consultation at Kirkland Dental Smile can help determine if ICON treatment is the right choice for you.








Current Specials
Enjoy exclusive savings on your next dental visit.
