Reviews & Testimonials - Kirkland, WA
Hear from our patients
Patient Testimonials
See What Our Wonderful Patients Have To Say

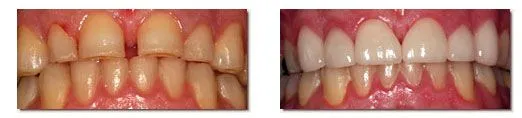
Real Patient Transformations
Before & after
Discover real before and after results that highlight the care, precision, and attention to detail behind our dental treatments. Each transformation reflects our commitment to personalized care and natural looking results that help our patients feel confident in their smiles.

